Катаракта (медицина)

Катаракта — помутнение хрусталика глаза. В норме хрусталик абсолютно прозрачен. Однако с возрастом нарушение его питания может вызвать стойкое помутнение и ухудшение зрения. Развитию заболевания способствуют нарушение обмена веществ (в частности, сахарный диабет), токсическое или травматическое воздействие на глаз, заболевания внутренних оболочек глаза (воспаление, высокая степень близорукости, глаукома).
Заболевание может быть врожденным и приобретенным. Врожденные катаракты обычно не прогрессируют. Скорость прогрессирования приобретенной катаракты у разных людей различная и в большой степени зависит от общего состояния организма и тканей глаза. Травматические катаракты могут прогрессировать очень быстро.

Симптомы
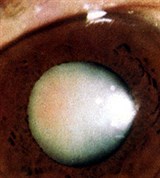
В начальной стадии заболевания перед глазами ощущается мелькание темных полосок, штрихов, пятен. При взгляде на источники света (свеча, фонарь) изображение часто раздваивается. Постепенно помутнение хрусталика становится выраженным. При развитой катаракте область зрачка сероватая, серовато-белая или молочно-белая. Одновременно снижается острота зрения, при полной («созревшей») катаракте больной ощущает только наличие или отсутствие света.

Лечение
Лечение катаракты хирургическое: удаление мутного хрусталика, имплантация искусственного хрусталика. На ранних стадиях можно приостановить прогрессирование процесса закапыванием витаминных капель. Однако нежные помутнения в начальных стадиях катаракты можно обнаружить только с помощью специального оборудования. Проводить лечение необходимо под наблюдением офтальмолога, так как разные виды катаракты требуют различного лечения. Неквалифицированное лечение (самолечение) может ускорить прогрессирование заболевания.
Для прогноза болезни большое значение имеет функциональная способность сетчатки и зрительного нерва. При сохранности нервно-рецепторного аппарата и коррекции зрения с помощью сильных собирающих очков или контактных линз (если не был поставлен искусственный хрусталик) в послеоперационном периоде зрение восстанавливается. Если хрусталик был имплантирован, то очки понадобятся только для работы вблизи.
Статья находится в рубриках
Яндекс.Метрика