Рубрики
А-Я
Хронограф
Словари
Авторам
О проекте
Случайная статья
Редактировать
Распечатать
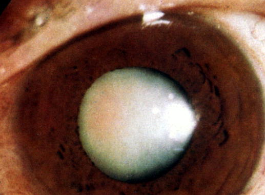
Зрелая старческая Катаракта
Зрелая старческая катаракта.
Навигатор