Бронхография (медицина)

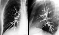
Бронхография — метод рентгенологического исследования трахеи и бронхов после введения в них рентгеноконтрастного вещества. В обычных условиях при рентгенологическом исследовании бронхи и трахея остаются невидимыми. Для получения при рентгеноскопии или рентгенографии теневого изображения трахеи и бронхов в дыхательные пути (после их обезболивания) вводят контрастные вещества (йодированные растительные масла, водорастворимые контрастные вещества, суспензии контрастных веществ в масле и водной среде). С помощью бронхографии диагностируют заболевания легких, бронхов и трахеи (опухоли, бронхостеноз). Бронхография противопоказана при общем тяжелом состоянии, сердечно-сосудистой декомпенсации, заболеваниях почек, повышенной чувствительности к йоду. Впервые бронхография была произведена человеку в 1918 году американским врачом Ш. Джексоном. В России первая бронхография была выполнена в 1923 году.
Статья находится в рубриках
Яндекс.Метрика