Рубрики
А-Я
Хронограф
Словари
Авторам
О проекте
Случайная статья
Редактировать
Распечатать
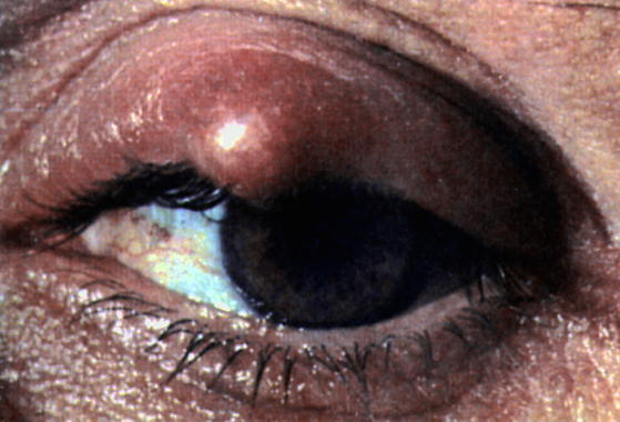
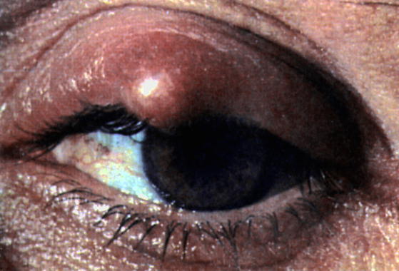
Ячмень верхнего века
Ячмень верхнего века.
Навигатор