Рубрики
А-Я
Хронограф
Словари
Авторам
О проекте
Случайная статья
Редактировать
Распечатать
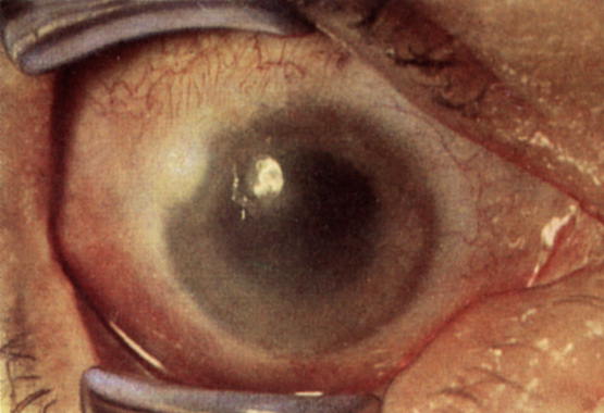
Химический ожог конъюнктивы и роговицы
Химический ожог конъюнктивы и роговицы.
Навигатор