Рубрики
А-Я
Хронограф
Словари
Авторам
О проекте
Случайная статья
Редактировать
Распечатать
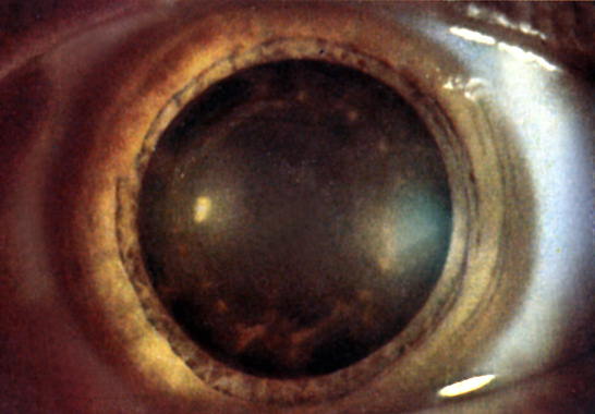
Сидероз глаза
Сидероз глаза. Результат наличия в глазу инородного тела (вид зрачка).
Навигатор