Рубрики
А-Я
Хронограф
Словари
Авторам
О проекте
Случайная статья
Редактировать
Распечатать
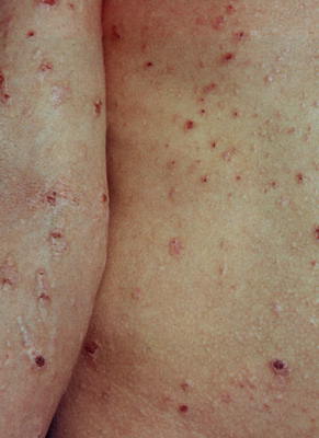
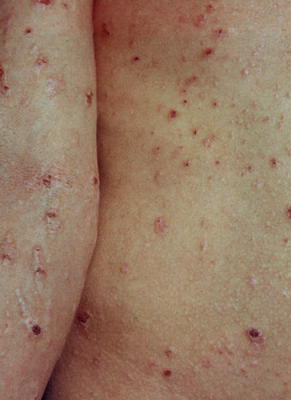
Распространенный нейродермит
Распространенный нейродермит.
Навигатор