Рубрики
А-Я
Хронограф
Словари
Авторам
О проекте
Случайная статья
Редактировать
Распечатать
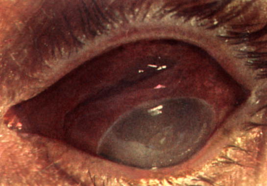
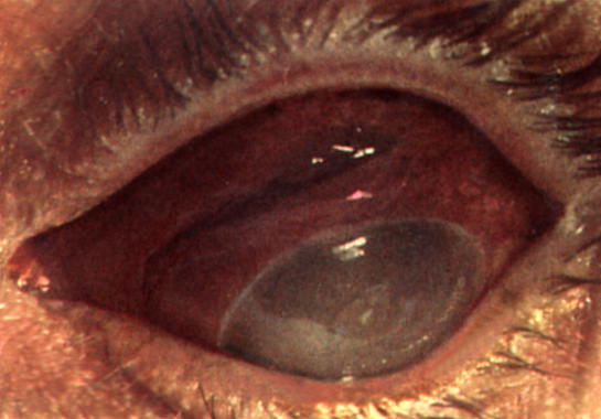
Проникающее ранение склеры
Проникающее ранение склеры.
Навигатор