Рубрики
А-Я
Хронограф
Словари
Авторам
О проекте
Случайная статья
Редактировать
Распечатать
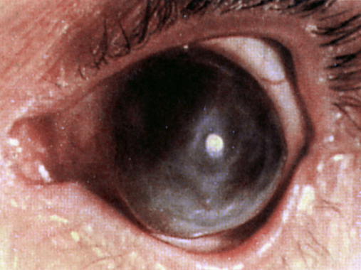
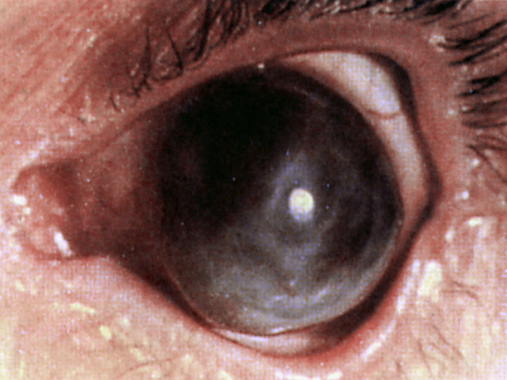
Исход язвы роговицы (1)
Исход язвы роговицы (1).
Навигатор