Рубрики
А-Я
Хронограф
Словари
Авторам
О проекте
Случайная статья
Редактировать
Распечатать
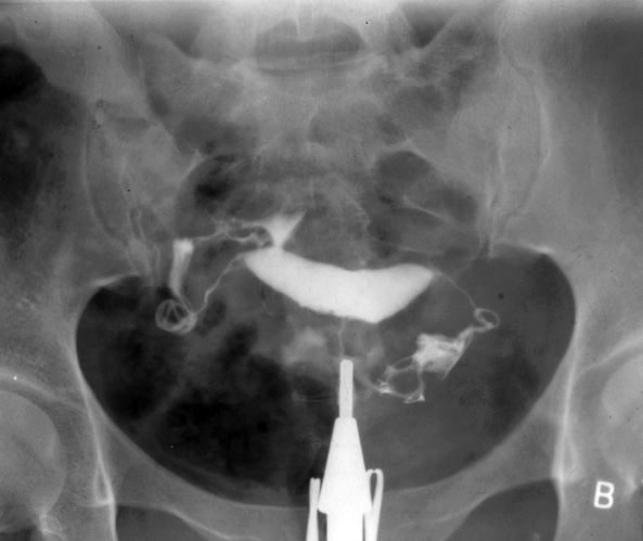
Гистеросальпингография
Рентгеновский снимок, получаемый при гистеросальпингографии.
Навигатор