Рубрики
А-Я
Хронограф
Словари
Авторам
О проекте
Случайная статья
Редактировать
Распечатать
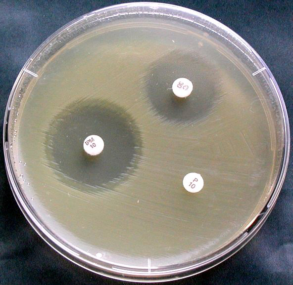
Антибиотикограмма (биологический метод)
При биологическом методе исследования проверяется эффективность антибиотиков при соприкосновении с бактериальной средой.
Навигатор