Угри вульгарные

Угри вульгарные — кожное заболевание, характеризующееся гнойно-воспалительным поражением сальных желез на фоне себореи.

Причины
Вульгарные угри часто возникают в период полового созревания, поэтому они получили название юношеские угри. Причины появления угрей связаны со следующими факторами: увеличение и повышение секреции сальных желез (часто это связано с повышением в крови уровней мужских половых гормонов), закупорка выводных протоков сальных желез, наличие на поверхности кожи микробной флоры (разлагающееся сало создает благоприятную почву для внедрения микроорганизмов), воспалительная реакция окружающих тканей.

Симптомы
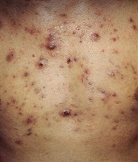
Повышенное выделение кожного сала, недостаточное опорожнение сальных желез являются предпосылкой закупоривания устьев волосяных фолликулов с образованием «черных точек» — комедонов. В основании комедона появляется воспалительный узелок небольшого размера, в центре которого через некоторое время формируется гнойничок, при вскрытии его выделяется в небольшом количестве творожистое содержимое с гноем. При усыхании гнойничков образуется корочка, а после отторжения ее на коже остается рубчик. Уплотнение после вскрытия гнойничка рассасывается крайне медленно. Процесс часто носит распространенный характер с преимущественной локализацией на лице, верхней части груди и спины. В некоторых случаях нагноение происходит в глубоких слоях кожи — образуются крупные мягкие болезненные узлы, склонные к абсцедированию.
Течение болезни волнообразное. Обычно к 20-28 годам наступает излечение. После глубоких форм остаются рубцы.

Лечение
Лечение угрей довольно сложное и проводится под контролем специалиста. Следует помнить, что нельзя самостоятельно выдавливать угри, так как это может привести к распространению процесса и образованию на этом месте грубых рубцов, которые могут обезобразить лицо. Необходимо правильное питание: исключение из рациона жирной пищи, шоколада, какао, спиртных напитков, ограничение сладкой, острой и соленой пищи. Лечение проводится курсами: назначают антибиотики, витамины, иммунопрепараты, ретиноиды (активные формы витамина А), ультрафиолетовое облучение кожи. Наружно применяют обезжиривающие и дезинфицирующие лосьоны, содержащие спирт, серу, салициловую кислоту, эфир, резорцин, антибиотики, а также пасты или мази с серой, дегтем, ихтиолом.
Статья находится в рубриках
Яндекс.Метрика